Vitiligo em cão: Revisão de literatura
Por Dra. Cíntia Moraes
Artigo publicado na revista Medicina Veterinária em Foco em 23 de maio de 2024.
O vitiligo é um dermatopatia adquirida rara que cursa com despigmentação seletiva e progressiva dos melanócitos, resultando em despigmentação macular evoluindo para leucodermia e leucotriquia. O que causa a destruição dos melanócitos, ainda é desconhecida. Existem várias teorias para tentar explicar o acontecimento. No entanto, a mais aceita é que o vitiligo se trata de uma doença autoimune, devido a presença de anticorpos antimelanócitos no soro de humanos e animais acometidos pela doença.
A ocorrência do vitiligo em cães é incomum, especialmente na forma generalizada e rara em gatos. Na espécie canina, as raças mais predispostas são Rottweiler, Pastor Belga, Pastor Alemão, Doberman, Pointer Alemão, Sheedog e Dachshund. Em felinos, o Siamês é o mais predisposto. Não há predisposição sexual e a maioria dos cães desenvolvem a doença entre seis e quarenta e oito meses de idade.
A destruição seletiva e progressiva dos melanócitos resulta em despigmentação macular. No início observa-se manchas hipocrômicas, não precedidas por inflamação. Com a evolução do quadro, essas manchas sofrem progressão e tornam-se máculas acrômicas, caracterizando a leucodermia.
As lesões geralmente são bem demarcadas com limites nítidos e bordas hiperpigmentadas e simétricas. As lesões são assintomáticas e a extensão é variável. A repigmentação espontânea pode ocorrer.
Nos animais devido ao manto piloso, além da leucodermia, também observamos a leucotriquia.
O vitiligo pode ser classificado como localizado, generalizado ou acrofacial. Geralmente, o primeiro observa-se lesões em mucosas com envolvimento palatino ou em bordas (labial, palpebral, prepucial, vulvar e anal), no generalizado é observado leucotriquia bilateralmente simétrico ou então generalizado. Já o acrofacial observa-se despigmentação facial e ao longo dos membros, envolvendo o pelame dos membros, a pele, as transições mucocutaneas, as unhas ou garras.
Os animais com vitiligo desenvolvem leucodermia e leucotriquia macular simétrica principalmente no plano nasal, lábios, pálpebras, mucosa oral, escroto e borda anal. Podendo também estar envolvidos os coxins palmoplantares, cotovelos e as unhas.
Um levantamento realizado num hospital escola de universidade paulista no período de 1986 a 2009, 21 animais foram diagnosticados com vitiligo, desses 19 (90,5%) eram cães e 2 gatos da raça Siamês. Dos cães acometidos, 18 deles eram da raça Rottweiler (84%) e 57% eram machos.
O diagnóstico do vitiligo se baseia na resenha, história clínica, avaliação física geral, oftalmológica, dermatológica e oncológica associado sempre a avaliação histopatológica. Os exames laboratoriais como hemograma e bioquímicos são recomendados para exclusão de outras doenças concomitantes.
A biópsia deve ser realizada na transição entre a pele acrômica e pigmentada normalmente. O procedimento pode ser realizado com punch de maior diâmetro ou com auxílio do bisturi.
Na avaliação histopatológica, a epiderme acometida pode apresentar redução ou ausência de melanócitos epidérmicos e melanina quando comparada com a pele adjacente. Na derme geralmente não se observa alteração, exceto pela diminuição de discreta a moderada de melanófagos. Entretanto, lesões recentes podem apresentar discreto infiltrado linfocítico superficial nas margens das lesões vitiliginosas, além de histiócitos e plasmócitos, redução de melanócitos, vacuolização citoplasmática, picnose, agregação de melanossomas, vacúolo autofágico e degeneração lipidica.
Animais com vitiligo acrofacial, que afeta principalmente o plano e espelho nasal deve-se diferenciar de outras doenças imunomediadas como: Síndrome uveodermatológica, lúpus eritematoso discoíde e sistêmico, pênfigo eritematoso e neoplasias como linfoma cutâneo. Já no generalizado deve ser diferenciado da canície.
Na medicina veterinária inexiste um tratamento eficaz descrito em literatura. A repigmentação espontânea pode ocorrer em alguns animais.
Conforme um estudo realizado na França com quatro cães com vitiligo, de raça definida, com idade de 14 e 22 meses de vida que foram submetidos à terapia com L-fenilalanina (precursor da formação de melanina via L-tirosina) obtiveram resultados favoráveis, onde observou-se redução da hipopigmentação ao longo de seis meses de acompanhamento. Entretanto, ainda há necessidade de mais estudos científicos nessa patologia. Em dermatologia humana já se utiliza corticosteroides tópicos, imunomoduladores tópicos, psoralênicos, laser, entre outros. Sempre concomitante com a indicação de protetores solares.
Consequentemente a despigmentação, principalmente em espelho e plano nasal e pálpebras, animais com vitiligo podem desenvolver outras dermatoses. Assim, deve-se sempre prescrever o uso de protetores solares e evitar a exposição solar nos períodos mais quentes do dia.
Até o momento não existem critérios clínicos e laboratoriais para conduzir o prognóstico. Apesar da doença não causar prejuízos diretos à saúde do animal, as regiões com despigmentação devem ter cuidados especiais para não piorarem ou adquirirem outras alterações cutâneas promovidas pela radiação solar.
O presente relato tem como objetivo descrever a experiência clínica de um caso de Pênfigo eritematoso associado com Vitiligo em um canino, da raça Rottweiler, fêmea, com 5 anos de idade.

Foto 1: Foto atualizada do paciente. Apresentado leucotriquia em região periocular, perilabial e algumas áreas da face e corpo.
Fonte: Arquivo pessoal

Foto 2: Mesmo cão em outro ângulo
Fonte: Arquivo pessoal

Foto 1: Paciente da raça Rottweiler no primeiro dia de atendimento. Presença de crostas, despigmentação em região de plano e espelho nasal e região palpebral. Presença de áreas facial com leucotriquia.
Fonte: Arquivo pessoal

Foto 2: Paciente, da raça Rottweiler no primeiro dia de atendimento. Presença de leucotriquia em dorso, mais evidente na região cervical.
Fonte: Arquivo pessoal

Foto 3: Primeiro dia de consulta. Mesmo animal das fotos anteriores de outro ângulo.
Fonte: Arquivo pessoal

Foto 4: Mesmo cão, das fotos 1,2 e 3, antes do acometimento do pênfigo eritematose e vitiligo.
Fonte: Foto gentilmente cedida pelo tutor da paciente.

Foto 5: Foto atualizada da paciente. Repigmentação em plano e espelho nasal. Entretanto, mantendo leucotriquia.
Fonte: Foto gentilmente cedida pelo tutor.

Foto 6: Foto atualizada da paciente. Presença de leucotriquia em dorso. Mais evidente em região cervical.
Fonte: Foto gentilmente cedida pelo tutor.

Foto 7: Coloração Fontana Masson (aumento 40x). Presença de pigmento melanico corado em preto.
Fonte: Foto cedida gentilmente pela M.V. Ms. Priscila Taboada, proprietária do HISTOPET.

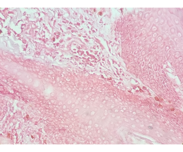
Foto 8: Coloração Fontana Masson (aumento 40x). Ausência de pigmento melanico corado.
Fonte: Foto cedida gentilmente pela M.V. Ms. Priscila Taboada, proprietária do HISTOPET.

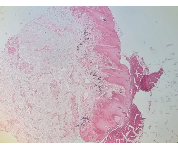
Foto 9: Coloração hematoxilina eosina – HE (aumento de 4x) Dermatite liquenoide com presença de crosta serocelular.
Fonte: Foto cedida gentilmente pela M.V. Ms. Priscila Taboada, proprietária do HISTOPET.

Foto 10: Coloração Fontana Masson (aumento de 4x). Incontinência pigmentar e áreas com epiderme contendo pigmento melanico e com pigmento ausente.
Fonte: Foto cedida gentilmente pela M.V. Ms. Priscila Taboada, proprietária do HISTOPET.

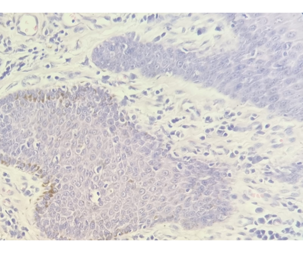
Foto 11: Coloração HE (aumento de 40x). Área com pigmento melanico na epiderme e área adjancente apresentando ausência de pigmento melanico visível.
Fonte: Foto cedida gentilmente pela M.V. Ms. Priscila Taboada, proprietária do HISTOPET.

Foto 12: Coloração Fontana Masson (aumento de 10x). Transição entre epiderme pigmentada e epiderme despigmentada.
Fonte: Foto cedida gentilmente pela M.V. Ms. Priscila Taboada, proprietária do HISTOPET.
Considerações finais:
Embora algumas doenças autoimunes apresentem algumas características clínicas importantes. O diagnóstico definitivo e assertivo requer o procedimento de biopsia cutânea e exame histopatológico.
A história clínica, padrão de lesões macroscópica são importantes para o patologista veterinário associar com a microscopia.
Todo exame histopatológico cutâneo deve ser avaliado por um dermatopatologista de sua confiança.
A boa comunicação entre dermatólogo/dermatologista e dermatopatologista traz um diagnóstico assertivo e terapia adequada e sucesso ao paciente.
Não é possível firmar que o pênfigo eritematoso foi predisposto devido a despigmentação ocasionada pelo vitiligo e exposição à radiação solar. As duas dermatopatias requerem cuidados com radiação solar e uso de protetores solares.
Referências
YASBEK, A.V.B. Vitiligo. In: LARSSON &LUCAS. Tratado de Medicina Externa Dermatologia Veterinária. São Paulo: Interbook,2016, p. 767-776.
MEDLEAU, L.; HNILICA, K. A. Dermatologia de Pequenos Animais – Atlas Colorido e Guia Terapêutico. São Paulo: Roca, p. 291, 2009.
GROSS, T.L. et al. Doença de pele do cão e do gato: Diagnóstico Clínico e Histopatológico. São Paulo: Roca, p. 225-230, 2009.
CRUZ T.P.S. et al., Vitiligo generalizado em canino – Relato de dois. Enciclopedia Biosfera, Goiana, v.13, n.23; p. 1348, 2016.
BILHALVA, M. A. Et al., Vitiligo generalizado em cão: Relatato de caso. In: V Congresso de Iniciação cientifica CIC – UFPEL, Pelotas, RS, 2018.
